Jean Christophe DURAND
Chirurgien orthopédiste
de la hanche et du genou
Pour en savoir plus
25 rue de Flesselles 69001 Lyon |
04 72 10 26 94

Le Centre du genou et de la hanche de la Clinique Saint Charles, situé dans le quartier de Lyon 1er (69001), est une structure spécialisée, dédiée à la prise en charge thérapeutique et préventive des pathologies articulaires, osseuses, ligamentaires et musculo tendineuses (muscles et tendons) du genou et de la hanche.
Le Centre du genou et de la hanche de la Clinique Saint Charles est une unité de consultation chirurgicale spécialisée : Pourquoi ? Pour qui?
Pour tous les patients qui présentent une pathologie articulaire, osseuse, ligamentaire et musculo tendineuse du genou et de la hanche et qui ont besoin d’un avis chirurgical spécialisé.
Chirurgien orthopédiste
de la hanche et du genou
Pour en savoir plus
Chirurgie orthopédique
de la hanche et du genou
Pour en savoir plus
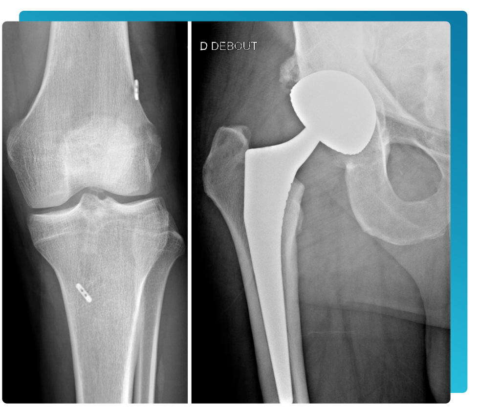
- Prothèse totale ou partielle du genou
- Reprise de prothèse de genou
- Fracture sur prothèse de genou
- Réparation ligamentaire (ligament croisé, ligaments latéraux) et et réparation méniscale du genou
- Chirurgie d'instabilité de la rotule
- Ostéotomie des membres inférieurs avec planification sur mesure
- Traumatologie du sport
- Prothèse totale de hanche par voie postérieure et par voie antérieure mini-invasive
- Reprise de prothèse de hanche
- Arthroscopie de hanche
L'accueil individualisé des patients et la RAAC (récupération accélérée après chirurgie)
sont des domaines de compétences reconnus de la Clinique Saint-Charles.
